- 发布日期:2026-03-14 20:01 点击次数:153
“我以后一定会注意!”近日,71岁的张奶奶来到宁波大学附属第一医院呼吸与危重症学科丁群力主任医师门诊复查,结果显示肺功能已基本恢复,终于让她放了心。谁能想到,原本满心虔诚去祈福,竟让她遭遇一场健康危机。
七旬奶奶突发咳喘
真凶竟是……
71岁的张奶奶(化姓)平时身体硬朗,可就在去年7月,她突然出现咳嗽、咳痰、气急等症状,持续十多天还不见好转,在当地医院接受了抗感染治疗后,仍然不见改善,于是辗转来到宁波大学附属第一医院呼吸与危重症门诊。
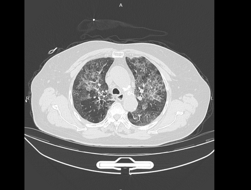
丁群力检查发现,张奶奶的肺部CT呈现弥漫性“白影”(俗称“白肺”),密密麻麻都是白斑,肺功能仅为正常值的60%,稍稍活动后就开始大口喘气,连日常行走都倍感吃力。由于抗生素药物治疗无效,而且症状表现与外源性过敏性肺泡炎相似,丁群力通过激素对症治疗,暂时缓解了张奶奶的症状,并叮嘱张奶奶:“您这段时间尽量留意一下,有没有长期接触烟雾、粉尘这类刺激性东西,好好排查一下可能导致吸入的源头,要是找到了一定要及时避开,不然病情可能会反复。”

CT显示肺部全是白色的炎症反应
令人没想到的是,4个月后,张奶奶再次来到了丁群力的门诊,她的病情突然复发,咳嗽、气急症状甚至比第一次更严重,复查CT显示肺部白影范围明显扩大,炎症指标也再度飙升。
这次复发后,丁群力和家属开始复盘,耐心询问张奶奶两次发病前的生活轨迹和接触史,逐一排除了装修粉尘、动物接触等常见诱因后,有了意外的发现。发病前段时间,张奶奶为了给子孙祈福,常常白天一整天都待在香火缭绕的环境里,而这很有可能是诱发张奶奶过敏性肺泡炎的主要原因。
“长时间待在香火烟雾弥漫的地方,尤其是密闭空间内,香火中的粉尘颗粒很容易吸入肺部,激活肺泡内的巨噬细胞、中性粒细胞等免疫细胞,这些免疫细胞会大量吞噬粉尘颗粒,随后释放出大量炎症因子、细胞因子,引发过度的炎症反应”。丁群力解释,这种“防卫过当”的免疫反应会反过来损伤肺泡壁和肺间质,整个肺部如同变成了“战场”,最终诱发外源性过敏性肺泡炎,“您以后可不能再长时间去上香了,病情总是反复的话,肺部损伤会更严重,甚至可能发展成肺纤维化,到时候就不可逆了。”张奶奶这才恍然大悟,懊悔地表示再也不去了。
经过规范治疗,在近期复查时,张奶奶肺部白影已明显变淡,肺功能也提升至接近正常值的80%,但肺部仍有斑驳的损伤痕迹,还需要长期调理恢复。
不止香火秸秆
这些“隐形杀手”更常见
无独有偶,80岁的李大爷(化姓)前段时间在农村老焚烧秸秆,短时间内吸入大量烟雾后,很快出现发热、胸闷、气急等症状,甚至出现缺氧、呼吸衰竭,紧急前往宁大一院就医后,CT检查同样显示双肺弥漫性发白。由于大爷年龄更大,且合并心脏基础疾病,病情进展更快,好在及时接受激素治疗后,三天后气急症状明显缓解,复查时肺部损伤已基本吸收。

丁群力正在查房
丁群力介绍,像张奶奶这样的并非个例,外源性过敏性肺泡炎本质是吸入烟雾、粉尘、异种蛋白等物质后,引发的肺部炎症反应,严重时可表现为急性发作,而慢性反复、持续吸入则可能出现肺纤维化。常见诱因不止香火和秸秆,装修粉尘、喷漆、动物毛发(鸽子、鸡等)、蘑菇大棚的真菌孢子、职业暴露中的润滑剂烟雾等,都可能成为元凶,而且大多与长期接触或短时间大量吸入相关,但病情可能存在明显的个体差异。
“与普通细菌性肺炎不同,外源性过敏性肺泡炎的症状多为干咳、少量白痰、活动后气急,部分患者可能伴随发热,且抗生素治疗无效。”丁群力解释,这是因为它并非细菌感染,而是免疫介导的炎症反应,激素抗炎是主要的治疗手段。
预防外源性过敏性肺泡炎,关键在于规避吸入诱因。丁群力提醒广大市民,日常接触香火、粉尘、动物毛发时,务必规范佩戴口罩;长期处于装修、养殖、大棚种植等高危环境的人群,需定期做肺功能和胸部CT检查,早发现潜在损伤。一旦出现持续干咳、活动后气急等症状,务必及时就医,避免病情进展为不可逆的肺纤维化。
来源 宁波晚报 记者 任诗妤 通讯员 庞赟
- 开会没听讲?森萨博21中11拿26分 菲利波夫斯基14中10砍26分9板2026-04-08
- 板凳火力!格雷森·阿伦替补16中7拿19分 三分11中42026-04-08
- 鲍文:日本队的实力非常强,接下来要全力帮助西汉姆联保级2026-04-07
- 第60分钟蓉城换人,费利佩、王东升替补登换下贺一然、王子铭2026-04-07
- 肝腹水反复难消?北京鹤云中医:软肝健脾、温肾利水,从根源断水不复发2026-04-06
- 女演员千万别整容!看《月鳞绮纪》鞠婧祎和陈都灵同框,就懂了2026-04-06
